当院の小児歯科について
あき歯科&矯正歯科 白金高輪では、小児歯科専門医が在籍し、親御さまの気持ちに寄り添いながら専門的なアドバイスを行っています。
虫歯に悩む親御さんも多いですが、私たちが全力でサポートします。一緒に大切なお子さまの歯を守りましょう。
【小児歯科 担当医】
|
豊村 友賀 小さい頃から歯医者に通うことで、正しいケアやお口の健康への意識を育むことができると思います。お子さんが初めて出会う歯医者さんとして安心して通っていただけるように努めてまいります。 |
![]() |
|
北市 裕大 お子さまの一生涯のお口の健康を保つお手伝いをしていきたいと思います。安心して治療を受けられるよう、明るい雰囲気を大切にしています。楽しく歯医者さんに通ってください。 |
![]() |
あき歯科&矯正歯科 白金高輪では、お子さまが治療に対して不安や恐怖を抱いている場合、無理に押さえつけて治療を行うことはありません。まずは歯科医院の雰囲気に慣れてもらうことから始めます。お子さまによっては、最初の数回は治療を行わず、医院に慣れることだけに専念することもあります。治療が始まる際には、痛みや恐怖心を与えないよう細心の注意を払い、さまざまな工夫を取り入れています。
当院には東京医科歯科大学小児科専門医が2名在籍しており、過去に他院で治療が難しかったお子さまでも、安心して治療を受けられるケースが多くあります。多数の虫歯など、専門的な治療が必要な場合は、大学病院と連携をとって治療を行うことも可能です。お子さまのデリケートな心に寄り添い、信頼関係を築きながら治療を進めることで、歯科治療への恐怖心を取り除きます。お子さまのペースに合わせた治療をご提案しますので、どうぞお気軽にご相談ください。
【乳歯の虫歯がよくできる箇所について】
1.上の前歯と前歯の間3歳までの子どもは、上の前歯が虫歯になりやすいです。特に、歯と歯の間は注意が必要です。哺乳瓶で長時間ミルクを与えると、虫歯(哺乳瓶虫歯)が発生することがあります。一方、下の前歯は唾液の分泌があり、唾液の自浄作用によって虫歯になりにくい傾向があります。 |
![]() |
2.奥歯と奥歯の間子どもの乳歯の虫歯が最もできやすいのは、奥歯と奥歯の間です。この部分は汚れが見えにくく、隙間がないため、歯ブラシだけでは十分に清掃することが難しいです。そのため、デンタルフロスを使って汚れを取り除くことが重要です。デンタルフロスを使用する際に引っかかりが感じられる場合、虫歯の可能性があります。 |
![]() |
3.奥歯の溝乳歯の奥歯の溝は深く、虫歯菌が溜まりやすい形状をしています。溝が深いと歯ブラシが奥まで届かず、虫歯菌が残ってしまうため、虫歯が進行しやすくなります。仕上げ磨きを行う際は、特に丁寧に磨くことを心がけましょう。 |
![]() |
【虫歯の進行レベル】
C0(初期むし歯)
白く濁ったり、ざらついたりする状態。まだ穴はあいておらず、適切なケアで治る可能性あり。
C1(エナメル質のむし歯)
歯の表面に小さな黒ずみが見える。痛みはないことが多い。削って詰める処置が必要。
C2(象牙質のむし歯)
虫歯が内部に進行し、冷たいものがしみる。進行が早いため早めの治療が必要。
C3(神経まで達したむし歯)
ズキズキとした痛みが出る。神経の治療(根管治療)が必要。
C4(歯根まで達したむし歯)
歯の大部分が崩壊し、痛みがなくなることもあるが重度。抜歯になることも。

【幼若永久歯とは】
- 6歳頃に生える「6歳臼歯(第一大臼歯)」
6歳前後になると、お子さまの一番奥に新しい永久歯が生えてきます。これが「第一大臼歯」、通称「6歳臼歯」です。
乳歯が抜けて生えてくるのではなく、乳歯のさらに奥から生えてくるため、保護者の方が気づかないことも少なくありません。
- 12歳頃に生える「12歳臼歯(第二大臼歯)」
12歳前後になると、さらにその奥にもう1本ずつ永久歯が生えてきます。これが「第二大臼歯」、通称「12歳臼歯」です。
12歳臼歯が生えそろうことで、永久歯列がほぼ完成し、大人の歯並びに近づきます。
【幼若永久歯の主な特徴】
特徴①:エナメル質の弱さ生え始めの永久歯は、表面を覆うエナメル質がまだ未成熟で柔らかく、十分な強度が備わっていません。そのため、虫歯菌が出す酸に対する抵抗力が弱く、非常に虫歯になりやすい状態です。特に生えたての時期は、見た目は大人の歯と同じようでも、内部構造はまだ成長途中で、注意深いケアが必要です。 |
特徴②:歯根の未完成永久歯は生えてから2~3年かけて歯根が完成しますが、生えたばかりの幼若永久歯はまだ根が未発達で弱い状態です。強い衝撃を受けると脱臼することがあり、特に上の前歯に多く見られます。 |
特徴③:歯髄の大きさ歯髄の部屋が大きいため、虫歯が神経に達しやすく、神経が壊死してしまう事があります。歯の神経は予後を考えるとできる限り保存したいですが、神経のお部屋が一度感染してしまうと元に戻すのは困難です。 |
特徴④:萌出直後の奥歯の溝の深さ奥歯の噛み合わせの溝が深く、歯ブラシが届きにくいため、汚れが溜まりやすく、虫歯になりやすいです。数年経つと咬む面が摩耗してきて、溝が浅くなり虫歯になりづらくなります。従って萌出直後が1番虫歯になりやすいです。 |
特徴⑤:生え変わる前の乳歯の虫歯生え変わる前の乳歯が虫歯になっていると、その後ろに生えてくる永久歯も虫歯になりやすい傾向があります。こうした永久歯は「ターナー歯(Turner歯)」とも呼ばれます。 |
【幼若永久歯の注意点】
幼若永久歯は、成長過程において非常に重要な役割を果たします。お子さまの歯を健康に保つために、以下のポイントにご注意ください。
1.丁寧な歯磨き幼若永久歯はエナメル質が薄く、虫歯になりやすいです。初期の段階で正しいブラッシングを行うことが大切です。当院では、効果的なブラッシング方法を指導いたしますので、ぜひご相談ください。また、歯ブラシのトレーニングも行っており、お子さま自身のブラッシング技術を向上させるための指導と、親御様の仕上げ磨きの方法についてもアドバイスいたします。お子さまの歯の健康を守るためにぜひご活用ください。 |
2.定期的なチェック定期的に当院でのチェックを受けることで、虫歯の早期発見や予防が可能です。お子さまの成長に合わせた定期検診をお勧めします。 |
3.食生活の見直し甘いものや酸性の飲食物を控え、バランスの取れた食事を心がけることで、虫歯を防ぐことができます。また、当院では食育に関する栄養指導も行っており、お子さまに必要な栄養素や食事のバランスについてアドバイスを提供しています。さらに、虫歯予防のための食生活ヒアリングも実施しており、お子さまの食習慣を把握し、具体的な改善策を提案いたします。食事に関する疑問やお悩みがございましたら、ぜひお気軽にお尋ねください。 |
4.フッ素の活用フッ素にはエナメル質を強化する働きがあり、虫歯予防に効果的です。フッ素入りの歯磨き粉の使用や、当院でのフッ素塗布を活用することで、より高い予防効果が期待できます。 |
5.シーラントの活用奥歯の噛む面には深い溝があり、食べかすや汚れがたまりやすいため、虫歯のリスクが高い部位です。こうした溝を歯科用の材料であらかじめ埋める「シーラント処置」を行うことで、汚れが入りにくくなり、効果的に虫歯を予防することができます。 |
6.外的な衝撃への注意幼若永久歯は外的な衝撃に弱いため、スポーツや遊びの際には注意が必要です。マウスガードの使用を検討されることをお勧めします。 |
7.歯並びの確認生え変わりの時期には歯並びの確認を行い、必要に応じて矯正治療を考えることが重要です。特に、口唇癖、指しゃぶり、ほおづえなどの癖は、歯並びに影響を与えることがあります。お子さまの歯並びについて気になることがあれば、ぜひご相談ください。これらの癖が歯並びに及ぼす影響についても、適切なアドバイスを提供いたします。 |
上記のポイントを意識し、適切なケアを行うことで、お子さまの幼若永久歯を健康に保つことができます。定期的な検診やご相談をお待ちしております。
【フッ素塗布の流れ】
1.歯の表面のクリーニング(プラーク・歯石・バイオフィルムの除去)フッ素をしっかり歯に取り込ませるためには、まず歯の表面をきれいにすることがとても大切です。当院では、専門の器具を使って歯の表面についたプラーク(歯垢)や歯石、そして目に見えない細菌の膜であるバイオフィルムまで徹底的に取り除きます。このクリーニングによって、フッ素が歯の表面にしっかり浸透しやすくなります。 |
![]() |
2.フッ素塗布で歯質を強化クリーニングの後、歯の表面にフッ素を塗布します。フッ素には、歯を強くし、むし歯を予防する効果があります。塗布後は、フッ素が歯に取り込まれる時間を確保するために、最低30分は飲食を控えていただいております。特にクリーニング直後の清潔な状態でのフッ素塗布は、効果が高まりやすいため、定期的なメンテナンス時に合わせた塗布をおすすめしています。 |
![]() |
【中心結節(ちゅうしんけっせつ)について】
永久歯の生え変わり時期に注意が必要な「とがった突起」
中心結節とは、主に下顎第2小臼歯(下の真ん中から5番目の歯)に見られる先のとがった突起状のふくらみです。この突起は円錐状や短い棒状の形をしており、咬合や咀嚼で折れて神経がむき出しになるリスクがあります。先天的な歯の形の異常の一つで、日本人の子どもに比較的多く見られます。
中心結節のよくあるリスク・かたいものを噛んだときに突起が折れてしまうことがある |
![]() |
【中心結節への主な対応策】
1.レジンで補強する(予防的処置)もっとも一般的な方法として、中心結節の周囲をレジン(歯科用プラスチック)で補強する方法があります。とがった突起の周りをレジンでしっかりと囲うことで、咬む力によって折れてしまうリスクを大幅に減らすことができます。この方法は見た目にもなじみやすく、短時間の処置で済むため、多くのお子さまに行われている安全性の高い処置です。 |
![]() |
2.少しずつ削る(段階的な処置)中心結節が大きく、神経との距離が近いと判断された場合には、定期的に少しずつ削っていく方法を選択することもあります。数ヶ月~半年ごとにごく少量ずつ削ることで、神経に刺激を与えずに、神経の周囲の壁を徐々に強化する効果が期待できます。この処置により、神経が歯の内側へと自然に遠ざかっていき、将来的に突起が折れても神経が露出しにくい状態をつくることができます。 |
![]() |
中心結節は、見た目は小さな突起ですが、折れてしまうと神経まで影響を及ぼすことがあります。当院では、お子さまの大切な歯を守るために、状態に応じた2つの主な対応を行っています。
どちらの方法が適しているかは、歯の状態や年齢、中心結節の大きさなどによって異なります。
当院では、丁寧な診査・診断のうえで、お子さまにとって最適な方法をご提案いたします。
「歯の先がとがっている」「噛むと痛がる」「欠けたように見える」など、気になることがありましたら、早めのご相談をおすすめします。
【治療内容について】
1.メンテナンスフッ素塗布、シーラント、ブラッシング指導を通じて、お子さまの歯を虫歯から守ります。歯を強くするフッ素塗布や、奥歯の溝を埋めるシーラントで虫歯を予防し、正しい歯磨き習慣の指導も行います。 |
![]() |
2.虫歯治療 (ラバーダム防湿)乳歯の虫歯治療では、早期に小さな虫歯を治療し、進行を防ぎます。また、ラバーダム防湿を使用することで感染リスクを軽減し、精密で安全な治療を行っています。子どもの虫歯治療では、ラバーダム防湿が特に有効です。唾液の侵入を防ぎ、治療部位を清潔に保てるだけでなく、薬剤によるトラブルや治療中の予期せぬ動きによるケガも防げます。当院では、お子さまが安心して治療を受けられるよう、ラバーダムを活用した精密な治療を行っています。 |
![]() |
3.フッ素 塗布フッ素は歯の表面を強化し、虫歯になりにくくする働きがあります。当院では、ご希望の方にフッ素を塗布し、お子さまの歯を虫歯から守ります。フッ素には、歯の再石灰化を促し、初期の虫歯を修復する効果も期待できます。フッ素の毒性はほぼありませんが、ご希望されない場合は無理に塗布することはございません。お気軽にご相談ください。 |
![]() |
4.シーラント治療シーラントは、フッ素塗布と並んで小児においてよく行われる虫歯予防処置です。この処置では、奥歯の噛む面にある溝をプラスチック樹脂の一種で埋めることで、虫歯を予防します。奥歯の溝にプラスチックのような材料を充填することにより、虫歯ができやすい部分を保護します。特に、幼若永久歯は虫歯になりやすいため、シーラントを施すことで、安心して食事を楽しむことができます。お子さまの虫歯予防にぜひご利用ください。 |
![]() |
5.歯並びと噛み合わせのサポート生え変わり時期のお子さまの歯並びや噛み合わせを定期的にチェックし、必要に応じて矯正治療をご提案します。早期治療を行うことで、大掛かりな矯正が必要になる前に問題を解決し、健康的な成長をサポートします。 |
![]() |
6.お子さまの気持ちに寄り添った治療お子さまが安心して治療を受けられるよう、キッズルームでのリラックスや歯科衛生士とのコミュニケーションを重視しています。痛みや恐怖心を与えないよう配慮し、一人ひとりに合った治療を進めます。 |
![]() |
![]() |
![]() |
【小児歯科 治療の流れ】
STEP01:問診・ヒアリング問診・ヒアリングでは、親御さまとお子さまのお話をじっくりとお伺いします。お子さまの虫歯や歯並びの悩み、正しい歯磨き方法についてなど、気になることや心配事があれば何でもご相談ください。お話を通じて、お子さまの状態や生活習慣をしっかり把握し、最適なアドバイスを行います。 |
![]() |
STEP02:口腔内チェック口腔内チェックでは、必要に応じてお子さまのお口の中を簡単に確認します。歯や歯茎の状態、虫歯の有無、歯並びのチェックなどを行い、今後のケアや治療の方針を立てるための参考にします。初めての歯科医院で緊張してしまうお子さまの場合は、まずキッズルームでリラックスしていただきながら進め、安心感を持っていただけるよう配慮します。 |
![]() |
STEP03:専門的なアドバイス虫歯の有無や歯並び、噛み合わせの状態を丁寧に確認した上で、適切な治療方針や予防のための具体的なアプローチをご提案いたします。親御さまのご希望やお悩みにも耳を傾け、治療に対する不安や疑問を解消できるよう、わかりやすくご説明することを心がけています。お子さまの健康な成長を支え、健やかな笑顔を守るために、親御さまと一緒に最善の方法を検討し、安心して通院いただける環境をご提供いたします。 |
![]() |
STEP04:治療虫歯が見つかった場合は、早期治療で進行を防ぎ、健康な歯を保ちます。治療にはラバーダムを使用し、安全で精密な処置を行います。虫歯予防では、フッ素塗布やシーラントを活用し、歯を虫歯から守ります。さらに、ブラッシング指導で正しい歯磨き習慣をサポートします。「歯並びや噛み合わせ」のサポートでは、生え変わり時期をチェックし、必要に応じた治療やアドバイスを提供します。早期対応により、大掛かりな矯正を回避し、健康な口腔環境を維持します。 |
![]() |
STEP05:定期検診お子様の歯の健康を守るためには定期的な歯科検診が重要です。定期検診では、虫歯や歯並びの問題を早期に発見でき、適切な治療や予防方法を学ぶことができます。また、歯茎や噛み合わせのチェックも行い、成長に合わせたケアを提供します。定期検診を受けることで、お子様の将来の歯の健康を守り、より健康な歯を育むことができます。 |
![]() |
【小児歯科の治療費】
| 初回相談料 | 無料 |
| フッ素 塗布 | ¥1,100 |
| その他治療費 | 港区にお住まいの中学3年生までのお子さまは、 診療時に「医療証」をご提示頂けますと保険診療が無料で受けれます。 詳細については以下の港区公式HPをご確認ください。 港区HP |
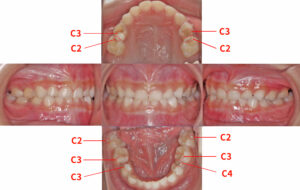
【全顎的な虫歯治療の症例写真】
Before(術前) |
After(術後) |
【小児矯正について】
お子さまの成長に合わせた矯正治療
歯並びや噛み合わせの問題は、大人になってからよりも成長期にアプローチすることで、より効果的な矯正が可能です。
小児矯正は、顎の成長を利用して永久歯が正しく並ぶスペースを確保したり、将来的な歯並びの乱れを予防したりするために行います。
こんなお悩みはありませんか?・前歯が出ている(出っ歯) |
![]() |
上記に当てはまる場合は、一度ご相談ください。早期に対処することで、大がかりな矯正や抜歯を回避できる可能性もあります。
【インビザライン・ファーストとは?】
当院では、お子さま向けマウスピース矯正「インビザライン・ファースト」を導入しています。
これは、乳歯と永久歯が混在する「混合歯列期」のお子さま(6〜10歳頃)を対象としたマウスピース型矯正装置です。
インビザライン・ファーストの特徴・透明なマウスピースで目立ちにくい |
![]() |
矯正中のストレスを減らし、学校や習い事など日常生活にも影響が出にくいため、多くのご家庭に選ばれています。
いつから始める?矯正のタイミング小児矯正は、第一期(6〜10歳頃)と第二期(12歳以降)に分けられます。 「まだ早いかも?」と思われる年齢でも、初期相談だけでもおすすめです。 |
![]() |
あき歯科&矯正歯科 白金高輪では、小児矯正に関するご相談を随時受け付けております。お子さまの将来の歯並びを一緒に考えていきましょう。



























